
  家住湖南省岳阳市60岁的李爱霞(化名)2年前确诊为肺癌并双肺转移,口服靶向药及接受放疗后病情控制稳定。今年7月,李爱霞复查发现肺转移瘤增大,而且由于病灶紧贴大血管,手术难度和风险很大。最终,91短视频
(南华大学附属长沙中心医院)肿瘤科李岳勇团队凭借丰富的经验,成功为其实施肺转移瘤微波消融术,术后李爱霞恢复良好,顺利出院。这一技术为高危位置的肿瘤患者提供了新的生机。

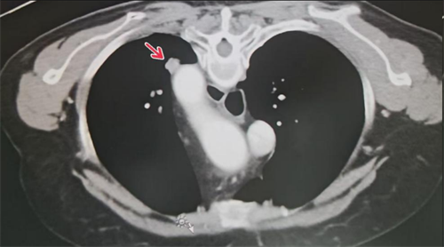
肺转移瘤邻近大血管

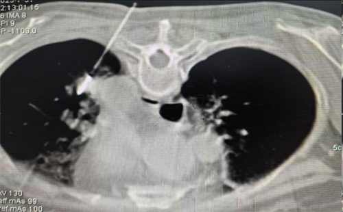
术中精准定位肺转移瘤位置

消融范围完美覆盖肺部病灶
什么是肿瘤热消融?
  肿瘤热消融是指针对某一脏器中特定的一个或多个肿瘤病灶,利用热产生的生物学效应,直接导致病灶组织中的肿瘤细胞发生不可逆损伤或凝固性坏死的一种精准微创治疗技术。
热消融治疗技术常用射频消融(RFA)、微波消融(MWA),此外还有冷冻消融、激光消融等。射频消融、微波消融和冷冻消融是目前临床上常用的三种肺部肿瘤消融治疗技术,对于直径≤3cm的肿瘤,三种消融方式均可获得良好治疗效果。
什么是微波消融技术?
微波消融技术是指在CT或超声引导下进行局部麻醉,将仅2毫米的消融针精准穿刺至肿瘤内部。针尖释放的微波能量可在60秒内将局部温度升至80-120℃,通过高温使癌细胞蛋白质变性坏死,但对周围健康组织的影响非常小,可以提高患者机体的免疫力,抑制肿瘤细胞的扩散。
通俗的理解就是:用微波炉把食物加热或煮熟,但是这个微波炉变成一根细细的针,穿刺到需要加热的部位,不但穿刺点创伤更微小、基本不留疤,而且只有需要“加热”的部位才会升温,最大限度地保留周围正常组织。
  该项技术对于高危位置肿瘤,可做到:1.精准控温,实时监测温度,避免灼伤血管、气管等关键结构。2.微创安全,仅需局部麻醉,创口如针孔,术后12~24小时即可下床。3.协同治疗:可与靶向药、免疫治疗联合,延缓耐药并清除残余病灶。

李岳勇为患者实施微波消融术
  “医学的进步让‘绝境’不再是终点。对于肺转移瘤、无法耐受手术(高龄、心肺功能差)、耐药后局部进展(控制耐药病灶)、特殊位置肿瘤(紧邻大血管、心脏,传统手术风险过高),微波消融术为代表的微创技术,正为肺癌患者开辟更多生存可能。”李岳勇介绍。
供稿丨肿瘤科 刘钰瑶 宣传部 朱文青
一审丨肿瘤科 李岳勇
二审丨宣传部 李晶
三审丨宣传部 周阳
                医德医风和医药领域腐败问题集中整治举报:
一、信息平台:91短视频
官网
二、邮寄地址:长沙市韶山南路161号91短视频
安全办,邮编:410004
三、来访接待:91短视频
安全办办公室