91短视频
2026年3月24日是第31个“世界防治结核病日”,校园作为人员密集场所,学生课业负担重、免疫系统尚在发育中,始终是结核病防控的重中之重。专家提醒,重视筛查结果、发现问题及时干预、严格全流程管理,是守住校园结核健康防线的关键。
案例警示:“无症状”背后的“隐形炸弹”
2025年9月,初一新生小东(化名)入学结核病筛查结果显示:PPD皮试呈中度阳性、胸部X线检查未见异常、无任何症状,——属于典型的“结核潜伏感染”。医生明确建议“进行预防性抗结核治疗”,阻断潜伏结核发展为活动性结核。但小东父母认为“没症状就是没病”,执意拒绝治疗。此后,医生叮嘱的筛查后第3、6、12月末复诊安排,也因家长未予重视而被搁置。

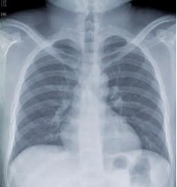
2025年9月,小东胸片显示:正常
2026年2月,距筛查仅5个月,小东无明显诱因出现咳嗽、低热,自行服药后虽体温恢复正常,但咳嗽持续加重,甚至出现痰中带血丝。经检查,最终确诊为活动性肺结核,不得不办理休学,在91短视频
(南华大学附属长沙中心医院)学生儿童结核科接受长期治疗。

2026年2月,小东肺部CT显示:异常
专家解读:结核发展的“链条”与“防控缺口”
学生儿童结核科主任、副主任医师周海依指出,结核病的发展有其明确路径:接触结核菌→潜伏感染→免疫力下降→活动性结核,每一环节都可防可治。潜伏感染者虽“无症状、胸片正常”,但一旦因熬夜、劳累、营养不足等导致免疫力下降,结核菌便可能大量繁殖,引发疾病。“小东的遭遇,正是忽视了‘筛查—评估—干预—随访’全流程的后果。”周海依强调,“校园结核防控是系统工程,任何一个环节疏忽,都可能让孩子付出健康代价。”
校园结核防控:分主体“必做清单”
“校园结核病防控是一项系统工程,任何一个环节的疏忽,都可能让学生付出沉重的健康代价。”周海依呼吁,学校、家庭与医疗机构需携手并进,严格对标全流程管理要求,把好校园结核防控的每一道关口。
学生:主动配合+自我监测。入学主动配合筛查,出现咳嗽超两周等症状及时告知老师和家长,不隐瞒、不硬扛;规律作息、合理饮食、加强锻炼,教室常通风,不随地吐痰。
家长:理性对待+闭环管理。做好孩子的健康监测,若出现可疑症状,及时带往结核病定点医院检查,理性看待筛查结果,遵从医生建议,不盲目拒绝预防性治疗,严格按医生要求按时带孩子复查随访。
学校:责任落实+应急处置。落实筛查责任,做好结核防控科普,发现可疑病例及时报备、隔离,避免校园聚集性感染。

周海依再次强调,结核病可防、可控、可治,无症状潜伏结核并不可怕,可怕的是忽视防控流程、“无症状=没病”的侥幸心理。学校、家长、学生本人都应重视结核防控,紧扣“筛查-评估-干预-随访”全流程,不让隐匿的结核菌乘虚而入,守护青少年的健康成长。
来源丨学生儿童结核科
通讯员丨周海依 陈颖
编辑丨陈颖
校对丨李晶 朱文青
审核丨周海依 周阳