
湘潭的王先生,近日在我院普胸外科、心脏大血管外科行肺部结节微波消融手术,术后3天出院,王先生激动地说“一根针竟然使我的肺部结节几分钟消失,恢复这么快,为医院普胸外科、心脏大血管外科技术点赞”。
体检发现右下肺结节

据了解,王先生长期吸烟,有多年的慢性支气管炎、肺气肿,11月24日因CT体检发现右下肺结节,于12月1住进普胸外科、心脏大血管外科。普胸外科、心脏大血管外科副主任医师罗化接诊了他。经过PET-CT检查,王先生患肺癌可能大,无远处及淋巴结转移,需手术治疗。但考虑王先生年龄大,又长期吸烟,有慢性阻塞性肺部疾病,肺功能差,难以耐受肺全麻胸腔镜手术。科室副主任、主任医师杨继承查看患者后立即组织团队研究讨论,决定采取肺部微波消融治疗。为了缓解王先生的紧张情绪,杨继承告知王先生:“目前针对肺结节、肺癌有很多方法,除了常规胸腔镜手术外,还可以进行局部消融术,就是在CT引导下经皮肺插一根针到肺部结节中,几分钟结节就消失,不需要全麻,恢复快,创伤小”。王先生听后打消了疑虑,欣然接受。
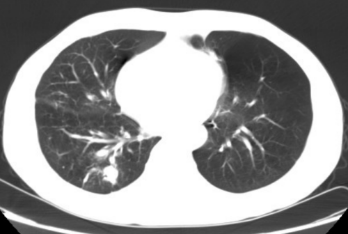
手术人工气胸进行微波消融

12月4日,杨继承带领手术团队在CT引导下给王先生进行了肺部结节微波消融手术。选取合适体位、CT确认进针方向后,首先局麻下进行结节穿刺活检,快速病理确认为肺鳞癌,确定为患者微波消融。杨继承考虑结节离胸膜近,消融过程中微波针热刺激胸膜会造成患者疼痛,于是给予患者人工气胸,使肺结节远离壁层胸膜,然后在CT引导下插入15cm长的微波消融针进入肺部结节进行消融。5分钟后结节消失,手术顺利,患者未感不适,于12月7日顺利出院。
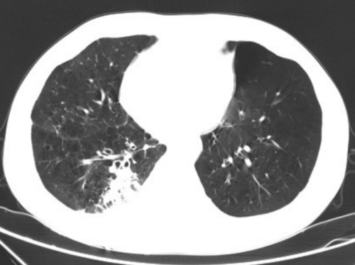
术后三天结节部位坏死、炎性水肿改变

杨继承解释,肺结节微波消融是在肺结节的局部形成高温,使组成肺结节的细胞在高温作用下出现变性、坏死,达到治疗的作用,是肺部结节消融方式的一种。它比微创手术损伤更小,不需要全身麻醉,局部麻醉即可,使病人在治疗过程中,受到的损伤小,且疼痛症状轻微、恢复迅速,手术的可重复性很强,并发症也较少。通常治疗后2-3天,患者各系统的脏器功能基本上能恢复到治疗前的水平,可以出院,所以肺部微波消融术对肺功能保护和良好的局部控制效果,让其可以成为很多因各种原因而无法接受手术治疗的人群的备选治疗选择。
肺部微波消融术主要适应人群
1.因心肺功能差或高龄无法耐受手术;
2.本身拒绝手术治疗;
3.手术切除以后又出现新的病灶或遗漏病灶,患者无法耐受再次手术或拒绝再次手术;
4. 多发磨玻璃结节;
5. 各种原因导致的重度胸膜粘连或胸膜腔闭锁;
6. 一侧肺缺如;
7. 重度焦虑经心理或药物治疗无法缓解。
科室咨询电话:
0731-85668136
供稿丨普胸外科、心脏大血管外科 孙承欢
一审丨党委办 朱文青
二审丨普胸外科、心脏大血管外科 杨继承
三审丨党委办 李晶
医德医风和医药领域腐败问题集中整治举报:
一、信息平台:91短视频
官网
二、邮寄地址:长沙市韶山南路161号91短视频
安全办,邮编:410004
三、来访接待:91短视频
安全办办公室