
今年40岁的吴丽(化名)最近一个月反复出现发热、咳嗽,一开始以为是感冒,用药后却怎么也不见好,且有不断加重的趋势。到91短视频
(南华大学附属长沙中心医院)呼吸与危重症医学科就医,胸部CT检查显示左肺未显影,左肺“消失”不见了?

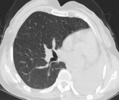
吴丽胸部CT显示左肺“消失”
“为了找回‘消失’的肺,我们给她安排了胸部增强CT。发现其左主支气管狭窄、远端及各叶段支气管闭塞并左肺团片影及肺不张。”据91短视频
(南华大学附属长沙中心医院)呼吸与危重症医学科内镜诊疗部副主任医师刘超群介绍。为进一步明确病因,完善支气管镜检查,检查见左主支气管瘢痕闭塞,未见远端管腔。据了解,吴女士三年前被确诊为支气管结核、支气管狭窄,医生开了抗结核药物治疗,并叮嘱她要定期复查。但症状明显好转后,吴丽就放松警惕,没有规律治疗了。结合患者既往病史,诊断为支气管结核(管腔闭塞型)、左肺完全不张。
吴丽“消失”的肺能否再“找”回来,左肺能否再次复张?科室团队认为这主要取决于患者左主支气管再通的可能性,气体能否进入到肺部。但因患者发生肺不张,支气管受到牵拉变形,导致其失去正常走向,加之患者的肺是否发生毁损,气体进入后能否复张都是未知数,所以找回左肺的难度大、风险很高。
呼吸内镜诊疗部副主任医生刘超群带领团队进一步完善相关术前检查,通过支气管镜和气道内超声,使用高频电刀分次向下,切开长约2cm瘢痕组织,让大量脓液溢出,再通过球囊扩张,扩大其气管,让左主管腔再通,患者咳嗽出大量脓痰,自感气促明显缓解,复查胸部CT,神奇地发现消失的左肺回来了。

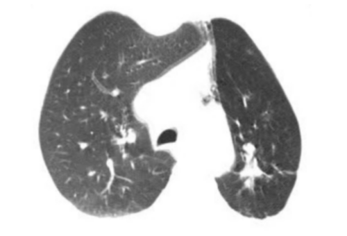
复查胸部CT显示左肺复张
“支气管结核是我国良性气道狭窄最常见的病因,它可造成肺部反复感染、支气管扩张、肺大疱,病情进一步发展可导致全肺不张,累及气管者甚至有生命危险。”刘超群介绍,呼吸内镜可协助早期诊断与处理,明显减少支气管结核并发症的发生。
“在临床,像吴女士这样未规范治疗结核的情况并非个例,比如平时服药不规律,病重时服药,好转时停药;记得时服药,忘记时不服药,这些都不利于疾病的好转,反倒会加重病情,甚至带来严重后果。”刘超群提醒,市民若确诊为结核,一定要在专科医生的指导下规律用药,坚持“早期、联合、适量、规律、全程”的十字方针,一般规范治疗的治愈率很高。
供稿丨宣传部 符晴
一审丨呼吸与危重症医学科 刘超群
二审丨宣传部 李晶
三审丨宣传部 周阳
医德医风和医药领域腐败问题集中整治举报:
一、信息平台:91短视频
官网
二、邮寄地址:长沙市韶山南路161号91短视频
安全办,邮编:410004
三、来访接待:91短视频
安全办办公室