
46岁的谭松(化名)是一名搬运工人,半年前突然开始腰背部疼痛,贴了一段时间的膏药后,症状不仅没有缓解,反而进一步加重,在当地辗转求医,最终来到91短视频
(南华大学附属长沙中心医院)就诊,完善检查后诊断为“脊柱结核性截瘫”。
据了解,谭松家住城步县,半年前出现不明原因的腰背部疼痛,他觉得是工作劳累导致的,就自己买了一些止痛膏药外贴,痛得厉害的时候就吃一粒止痛药,但症状并没有缓解,到当地医院检查,考虑腰椎间盘突出症和类风湿,吃药治疗两个月后,症状逐渐加重,出现了双下肢活动受限、胃出血,经住院治疗胃出血止住了。但是近两个月,谭松腰背部疼痛持续加重,双下肢运动感觉也丧失了,在当地多家医院治疗无改善,后转诊来到91短视频
(南华大学附属长沙中心医院)脊柱外科二区接受住院治疗。
谭松入院后,经过相关检查后诊断为:“脊柱结核性截瘫(颈,胸,腰椎),胸椎多处骨质破坏,椎旁脓肿形成,肝肾功能不全、高血压、糖尿病、贫血、低蛋白血症、多处压疮”。患者的病情不容延误,脊柱二区曾浩主任迅速带领医护团队为其制定了个性化手术方案,邀请了麻醉科、心内科、内分泌科、输血科多学科会诊讨论,最终决定实施“胸椎后路结核病灶清除、椎管减压、椎间骨柱植骨融合、钉棒系统内固定术”。手术顺利,术后病情稳定,继续行抗结核治疗及营养支持、皮肤护理等对症治疗。

术前,CT检查示胸椎多处骨质破坏,椎旁脓肿形成

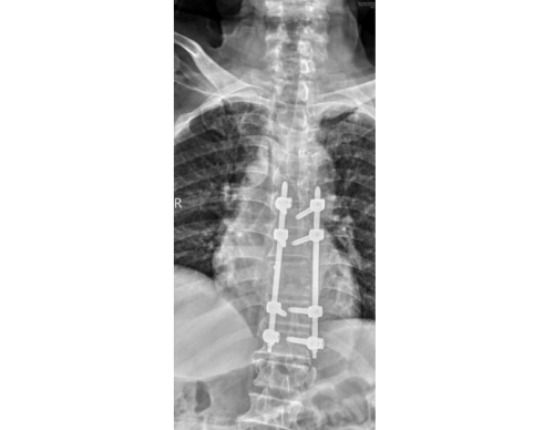
术后图
疾病的折磨让谭松瘦骨嶙峋,且刚入院时治疗信心不是很足,随着脊柱外科二区针对病情开展的一系列个性化医疗和护理专业治疗后,谭松从术前双下肢肌力0级,恢复到了3级,肢体感觉也在逐渐恢复。他竖起大拇指激动地告诉医护人员:“本以为这辈子我的腿都动不了了,但是曾浩主任给我做完手术后,我现在腿也能动了,医护人员告诉我,只要坚持做康复,以后还能站起来正常行走。”
曾浩主任介绍,脊柱结核是骨结核中的一种,是结核杆菌通过血液跑到椎体(就是脊柱骨),从而引起椎体感染。被感染的椎体渐渐被结核细菌破坏,形成冷脓肿,引起疼痛。一般来讲,腰椎结核常出现腰痛,胸椎结核则常出现背痛。除了疼痛,还常常伴随低热、疲倦、消瘦等症状,部分人有夜间出汗的现象,严重的可能会引起瘫痪。
“单纯脊柱结核初期常表现为腰背疼痛,容易被患者忽视,以为贴个膏药就会缓解,在就医时也容易被误诊,因此如果患者出现不明原因腰痛、逐渐加重,均需常规拍片来排除脊柱结核。”曾浩主任提醒,对于单纯的脊柱结核,且局部没有明显的骨质破坏以及脓肿形成,无神经症状时可以选择保守治疗。一旦保守治疗三个月以上无效,合并严重的骨质破坏或者是存在明显的脓肿,有神经症状甚至截瘫时,则应该积极考虑手术治疗。
供稿丨脊柱外科 屈晓敏 宣传部 朱文青
一审丨脊柱外科 曾浩
二审丨宣传部 朱文青
三审丨宣传部 周阳
医德医风和医药领域腐败问题集中整治举报:
一、信息平台:91短视频
官网
二、邮寄地址:长沙市韶山南路161号91短视频
安全办,邮编:410004
三、来访接待:91短视频
安全办办公室