
近日,11岁的小丽(化名)在玩耍时不小心摔倒被桌角撞击到胸腹部,随后出现右中上腹疼痛,由于一开始疼痛不剧烈,家长并没有重视。没想到2天后孩子疼痛依然没有缓解,家长赶紧带着孩子前往91短视频
(南华大学附属长沙中心医院)急诊科诊治,医生意外发现孩子肝右叶有一个巨大肿瘤且发生破裂出血,经过紧急手术,才脱离危险。

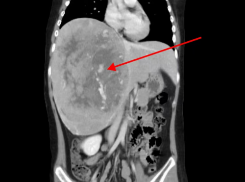
据该院急诊外科接诊医生王亮介绍,孩子入院时检查发现腹肌紧张,右上腹压痛,胸腹部增强CT提示:肝右叶肿块,考虑:肝母细胞瘤?合并肿瘤内出血。

CT检查显示肝右叶巨大肿块
由于肝肿瘤破裂出血是临床上的急危重症,发病急,病情凶险,预后较差。如果不进行及时救治,死亡率极高。急诊科立即组织肝胆脾胰疝外科、输血科、麻醉手术科多学科专家会诊讨论,经过综合评估后决定立即为患儿实施急诊手术。
手术中发现患儿右肝巨大占位性病变,约20cm*10cm*6cm大小,予以完全剥离,手术顺利,病理结果证实为“肝母细胞瘤”。术后转急诊重症监护室继续治疗。经过急诊科副主任、主任医师丁宁带领医护团队给予精心照护,患儿病情好转稳定,现已转出重症监护室,在急诊综合病房继续治疗。
肝母细胞瘤是什么疾病?它是恶性肿瘤吗?
急诊外科副主任邵启兵介绍,肝母细胞瘤是一种罕见疾病,发生率约百万分之一,但它是最常见的儿童肝脏恶性肿瘤。在日常生活中,家长可能认为孩子患上“肝癌”的概率较小,容易忽视孩子身体与这方面相关的健康预警讯号。然而肝母细胞瘤俗称为“儿童肝癌”,在儿童常见的原发性肝脏恶性肿瘤中位居第一位,发病率较高。通常前期可触摸到孩子肚子上有巨大包块,后期会出现黄疸、腹水、发热、贫血、体重下降、呼吸困难等较严重表现。肝母细胞瘤的主要治疗方式是通过手术完全切除肿瘤,然而, 肝母细胞瘤起病隐匿而且进展迅速,有一部分病人是因为肿瘤破裂出血而被发现。60% ~ 70% 的患者在确诊时因肿瘤体积巨大或肿瘤侵犯重要血管而无法手术。
邵启兵提醒,肝脏肿瘤破裂出血的常见原因如下:
1、肿瘤生长过快,局部缺血性坏死,常发生在较大肝母细胞瘤的中心位置继发破裂出血。2、肿瘤距离肝脏包膜较近或呈外生性生长的肿瘤,肿瘤包膜薄而质脆,当腹部受到外力打击或者腹内压骤然升高的场景,容易出现破裂出血。3、肿瘤生长直接侵犯血管,或者肿瘤快速生长压迫静脉回流,导致静脉内血液压力增大,引起血管破裂出血。
如果出现以下症状,需要引起重视,立即拨打120,以免延误治疗导致肝破裂大出血危及生命。
1、腹痛:右上腹持续性剧痛,向右肩放射;
2、腹膜刺激征:腹部压痛明显,肌紧张和反跳痛,以中上腹或右上腹为明显;
3、内出血或出血性休克:如皮肤黏膜苍白,脉搏增快,血压下降等。
供稿丨急诊科 杨晖 宣传部 朱文青
一审丨急诊科邵启兵
二审丨宣传部 李晶
三审丨宣传部 周阳
医德医风和医药领域腐败问题集中整治举报:
一、信息平台:91短视频
官网
二、邮寄地址:长沙市韶山南路161号91短视频
安全办,邮编:410004
三、来访接待:91短视频
安全办办公室