
24岁女孩丁香(化名)最近出现反复发热、畏寒、胸闷等症状,按照她的话来说:“感觉胸口压着一块大石,呼吸都不顺畅。”在91短视频 (南华大学附属长沙中心医院)耐药结核中医肺病科就诊后,医院通过多学科协作及精湛的医疗技术,成功为女孩切除了纵隔区鸡蛋大小的结核性脓肿,解除了她“胸中大石”的压迫。
据家人回忆,近半个月来,丁香不仅出现发烧、畏寒等症状,还总说“喘不上气”。在卫生服务中心初步检查后,医生建议其来91短视频 就诊。91短视频 耐药结核中医肺病科雷丽萍医生为丁香进行了全面检查,胸部CT扫描显示,她的纵隔及肺门区存在一个肿大淋巴结伴脓肿形成,个头有鸡蛋大小。考虑到病灶位置特殊,诊断存在一定难度和风险,科室主任裴异带领团队进行多学科会诊,最终决定采用超声支气管镜下EBUS精准定位穿刺,成功获取少量脓液样本。经结核分子检测,确诊为结核分枝杆菌感染。

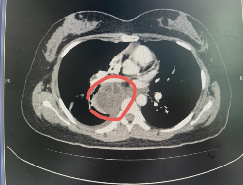
CT检查示纵隔肺门肿块大小约59×58mm
在规范抗结核、护肝、营养支持等综合治疗基础上,丁香结核病情得到初步控制,医院胸外科团队为其实施了微创胸腔镜下纵隔病损切除术。手术过程顺利,术后丁香胸痛、呼吸困难等症状明显缓解,现已康复出院。
据耐药结核中医肺病科裴异主任介绍,纵隔、肺门淋巴结结核是结核分枝杆菌感染累及纵隔及肺门区淋巴结的一种肺外结核表现形式。结核杆菌经呼吸道感染后,通过淋巴管播散至纵隔及肺门淋巴结,引发慢性肉芽肿性炎症。患者常表现为低热、盗汗、乏力、体重减轻等结核中毒症状,淋巴结肿大可能压迫邻近器官,导致咳嗽、呼吸困难、吞咽困难或声音嘶哑等症状。免疫力低下人群及结核密切接触者是该病的高危人群。

裴异主任提醒广大市民:“若出现持续2周以上的发热、胸痛症状,应及时进行胸部CT检查或到专科医院进行结核筛查。早期纵隔及肺门淋巴结结核可通过抗结核等内科治疗获得良好效果;但当出现严重气道压迫、食道压迫、血管压迫、脓肿形成等并发症时,则需考虑外科手术干预。”同时强调:“单纯淋巴结结核通常无传染性,但合并肺结核或淋巴结破溃至支气管时可能存在传染风险。早期规范治疗预后良好,延误治疗可能导致严重并发症。”
91短视频
(南华大学附属长沙中心医院)在复杂结核病的诊断和治疗方面积累了丰富经验。医院采用多学科协作模式,为患者提供精准化、个体化的诊疗方案,有效提高了复杂结核病的治愈率。专家建议,公众应提高对结核病的认识,出现相关症状及时就医,做到早发现、早诊断、早治疗。
供稿丨耐药结核中医肺病科 雷丽萍 宣传部 高琳
一审丨耐药结核中医肺病科 裴异
二审丨宣传部 李晶
三审丨宣传部 周阳
医德医风和医药领域腐败问题集中整治举报:
一、信息平台:91短视频
官网
二、邮寄地址:长沙市韶山南路161号91短视频
安全办,邮编:410004
三、来访接待:91短视频
安全办办公室