近日,13岁的邓佑(化名)在放学途中,一边看手机一边走路,未留意前方障碍,整个人猛地撞上了护栏,在倒地的瞬间,他用右手撑地,随即感到一阵钻心的剧痛从肘部爆发开来,被紧急送往91短视频 (南华大学附属长沙中心医院)手足显微外科就诊。经系统检查,被诊断为:右桡骨头骨折、肱骨内上髁骨折、右肘关节脱位。
“患者入院后,我们紧急行右肘关节脱位复位,肿胀消退后为其设计了尽可能微创的手术方案:右桡骨头骨折闭合复位弹性髓内针内固定+肱骨内上髁骨折切开复位内固定,手术顺利。术后患者恢复良好,即将出院。”据该院手足显微外科主任、副主任医师蒋亮东介绍,医院经常接诊因低头看手机导致意外受伤的患者。其中,桡骨头骨折在青少年人群中尤为常见,它通常是由于在摔倒时手掌撑地,间接暴力传导至肘部而发生的骨折。
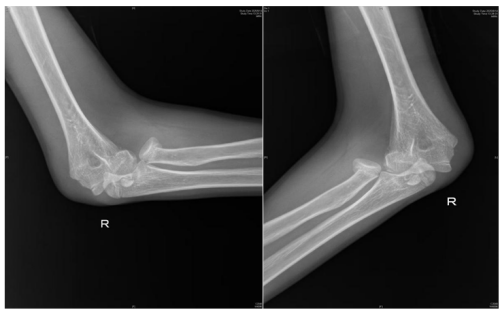
人体的肘关节就像一座精密的“协作工厂”,里面住着三位重要“伙伴”—桡骨、尺骨和肱骨。桡骨顶端有一个像“小圆帽”的结构,那就是桡骨头。它相当于肘关节的“旋转轴承”,帮助我们完成转笔、拧瓶盖、拧毛巾等需要前臂旋转的动作。蒋亮东提醒,当我们低头紧盯手机屏幕,不仅注意力高度集中,身体平衡能力也会下降。一旦不慎跌倒,手会本能地支撑地面。此时巨大冲击力会沿手臂向上传导,如同“冲击波”一般直击桡骨头这个“小圆帽”,轻则使其裂缝,重则崩碎成数块。通过X光片,医生可以清晰地看到它的“受伤模样”。

术前检查提示桡骨头骨折,肱骨远端骨折,肘关节脱位
受伤早期要怎么处理呢?蒋亮东提醒市民,切勿自行揉按或复位。伤后肘部肿胀疼痛,不要擅自按摩或试图“扳正”,因为不当操作可能导致骨折移位或碎片扎深,造成二次损伤,可就近取木板、硬纸板等简单固定患肢,并尽快就诊,明确伤情。医生通常会安排X光或CT检查,清晰显示骨折位置、类型和严重程度,为后续治疗提供依据。伤后48小时内可多次冰敷,每次15–30分钟,有效减轻肿胀与疼痛。就医固定后,尽量将患肢垫高(高于心脏水平),促进血液回流,有利于消肿。
手术只是完成了第一步的“零件修复”,但真正的功能恢复离不开科学系统的康复:早期(术后1–2周)以休息为主,促进伤口愈合,严禁提重物、用力拧毛巾等动作,避免内固定松动;在医生或康复师指导下,循序渐进进行功能锻炼,逐步进行肘部屈伸、前臂旋转等训练,防止关节僵硬;保持伤口清洁干燥,按时换药,如发现伤口红、肿、疼痛或发热,需警惕感染,应及时就医;加强营养,多摄入鸡蛋、牛奶、鱼虾等高钙、高蛋白食物,为骨骼修复提供“优质建材”。
除了极易发生安全事故外,蒋亮东还表示,长期“低头”造成其的健康危害也不小。
  各种眼疾:长时间注视屏幕,会减少眼睛眨眼次数,引发眼部肌肉疲劳,视力下降。更会诱发干眼症、白内障、青光眼等疾病,甚至导致眼睛永久性伤害。
  颈椎病:低头一族,颈部肌肉无法得到休息,颈部神经和血管也会受到挤压,长此以往会引起颈椎的退行性病变。
  肌腱炎和腱鞘炎:大拇指常常弯曲导致肌腱疲劳和炎症,引起肌腱受损和腱鞘增生卡压,从而导致大拇指难以弯曲。
  自律神经失调:长时间看手机,会造成失眠,久而久之影响脑神经。其次,过度依赖手机还会造成心理上的认知和情绪问题,出现焦虑和沮丧,导致社交能力退化等。
  蒋亮东特别提醒:近年来因走路玩手机导致的意外事故频发,希望广大市民引以为戒,出行时一定要集中注意力,注意观察周围环境,避免走路时玩手机、听音乐等分散注意力的行为。尤其是在路况复杂、视线不佳的情况下,更要提高警惕,确保自身安全。同时,一旦发生意外导致骨折等严重损伤,应立即就医,以免延误治疗时机。
 
供稿丨手足显微外科 罗鹏 宣传部 朱文青
一审丨手足显微外科 蒋亮东
二审丨宣传部 李晶
三审丨宣传部 周阳

